【健康科普】
骨肉瘤,这个名字听起来或许有些陌生,但它却是青少年群体中最为常见的原发性恶性骨肿瘤。多在青少年生长发育关键期出现,早发现、早诊断、早治疗对病情干预至关重要,同时40岁后也存在较小的继发性发病高峰,需做好相关警惕。
一、易患人群与高发部位
1.好发人群:主要集中在10-20岁骨骼快速生长的青少年,男性发病概率高于女性;40岁后有继发性的小发病高峰。

2.好发部位:多见于膝关节周围,也就是股骨远端、胫骨近端,肱骨近端也较为常见,肩关节也可能受累。这些部位都是长骨的干骺端,是骨骼生长最活跃的区域,骨肉瘤的发生和骨骼快速生长有密切关联。

二、身体发出的这些信号要警惕
骨肉瘤的核心预警信号是持续加重的疼痛,还有一系列伴随症状,容易和生长痛、运动损伤混淆,需仔细区分:
1.疼痛表现:初期多为间歇性隐痛,夜间会更明显,后续会逐渐发展为持续性疼痛,普通止痛药难以缓解;
2.局部肿块:肿瘤部位会出现质地坚硬的肿块,生长速度较快,局部皮肤温度升高,还可能看到表面血管凸起;
3.关节与行动问题:肿瘤靠近关节时,会导致关节活动受限,甚至出现跛行;
4.骨折风险:肿瘤会破坏骨质,让骨头变脆,轻微外伤就可能引发骨折;
5.转移可能:骨肉瘤早期可能发生转移,肺部是最常见的转移部位,会增加病情的复杂性。


三、发现异常,这样做检查确诊
出现上述不适后,及时就医做科学检查是关键,检查有明确的流程和确诊标准:
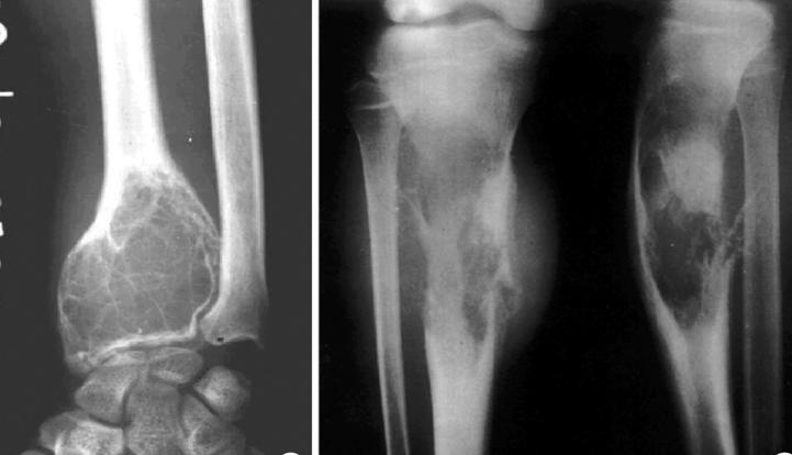
1.初步检查:先做X线检查,可观察骨骼破坏情况,能发现骨肉瘤特征性的“Codman三角”或“日光射线”状骨针表现。
2.详细检查:通过CT和MRI明确肿瘤的范围、大小,以及和周围神经、血管的关系,为手术方案制定提供依据。
3.确诊标准:病理活检是确诊的“金标准”,通过穿刺或切开获取少量肿瘤组织,在显微镜下观察,明确肿瘤性质和类型。


四、综合治疗,告别单一截肢时代
目前骨肉瘤的治疗以“新辅助化疗+手术+辅助化疗”为核心综合模式,根据病情选择合适的治疗方式,同时也在探索新型疗法:
1.新辅助化疗:手术前进行大剂量化疗,能缩小肿瘤体积,杀灭潜在的微小转移灶,为保肢手术创造条件;
2.手术治疗:保肢手术是主流方式,通过切除肿瘤段并植入人工假体等,尽可能保留肢体功能;部分无法保肢的病例,截肢手术可作为挽救生命的手段;
3.辅助化疗:手术后继续化疗,清除残余的癌细胞,降低病情复发的可能性;
4.新型探索:针对特定类型的骨肉瘤,靶向治疗、免疫治疗等新型疗法正在不断研究和发展中。

五、化疗副作用:正常反应,可防可控
化疗是骨肉瘤治疗的重要环节,药物在杀灭肿瘤细胞时,会影响身体内生长活跃的正常细胞,产生一些副作用,这些都是治疗过程中的暂时现象,且有对应的防治措施,并非不可控。
常见通用副作用及应对
1.骨髓抑制:化疗较严重的限制性毒性,会导致白细胞、血小板、红细胞减少,增加感染、出血、贫血风险;应对方式为定期监测血常规,用药物促进骨髓恢复,必要时输血;
2.消化道反应:发生率较高,表现为恶心、呕吐、食欲不振、口腔溃疡;化疗前会预防性用止吐药,出现口腔溃疡时可使用口腔护理液并加强口腔护理。


六、化疗期间,饮食这样吃更合适
化疗期间的饮食核心是“高营养、好消化”,合理饮食能帮助身体更好耐受治疗、促进恢复,遵循以下原则即可:
1.核心原则:保证高蛋白,帮助修复身体组织、维持免疫力;补充高维生素,多吃新鲜蔬果,减轻化疗对身体的损伤;选择易消化的清淡、软烂食物,减轻肠胃负担;每天饮水1500-2000毫升(约8-10杯),预防脱水、促进代谢废物排出。
2.进食方式:少食多餐,将一日三餐改为5-6顿小餐,减轻恶心感,减少呕吐,保证营养正常摄入。
骨肉瘤的恶性程度较高,但随着诊疗技术的进步,患者的生存率已有明显提升,预后效果和是否发生转移密切相关:
1.确诊时未发生转移的患者,五年无瘤生存率能达到50%至70%。
2.初诊时已发现肺转移的患者,治疗效果会受较大影响。
因此,青少年出现不明原因的骨痛,尤其是夜间疼痛时,切勿忽视,应及时到正规医院的骨科或肿瘤科就诊,做必要的影像学检查,避免延误病情。

骨肉瘤的应对是一场和时间的赛跑,通过科学认识疾病、及时发现身体异常、接受规范治疗,医患共同努力,能够为患者争取更好的生存机会和生活质量,更好地守护青少年的身体健康。
来 源:儿 科
通讯员:苏艳媛
编 辑:秦一凯
编 审:蓝晚瑜
审 核:宾志刚