【健康科普】
告别缺牙困扰
种植牙技术让牙齿“重生”
种植牙是指将替代天然牙根的种植体通过手术方式植入到缺牙区的牙槽骨内,术后3-4个月,等种植体跟牙槽骨结合到稳定性良好时,再在上面制作人工牙冠。种植牙在功能和美观上几乎和天然牙一样,也被称为人类的第三副牙齿。

适合人群(适应症)
①单颗牙缺失、多颗牙缺失或全口牙缺失者。
②缺牙区牙槽骨条件良好,或通过骨增量技术(如GBR、上颌窦提升)可改善者。
③身体健康状况稳定,能耐受常规口腔手术者。
④对修复效果和咀嚼功能有较高要求,不愿磨损邻牙做传统固定桥者。
⑤佩戴活动假牙不适或固位不良者。

种植手术前需要做的准备
1.面诊后拍摄CBCT,医生会根据你的情况决定是否需要术前取模型做导板,种植导板的优点有:
①在术中精确地定位和控制种植体的植入方向,提高外科手术的精确度。
②减少手术并发症,确保外科操作不会损伤相邻解剖结构。
2.患者有高血压、糖尿病、冠心病及其他疾病或者口服抗凝药的患者,需提前咨询医生,按照评估医生的意见做好术前准备,相关指标控制到正常范围内再预约手术。
3.常规检查:血常规、血糖、凝血功能、肝肾功能。
4.预约手术时间后,手术前约1周进行全口牙洁治。
5.手术前后要尽量注意避免感冒,不抽烟喝酒。

(种植体植入)

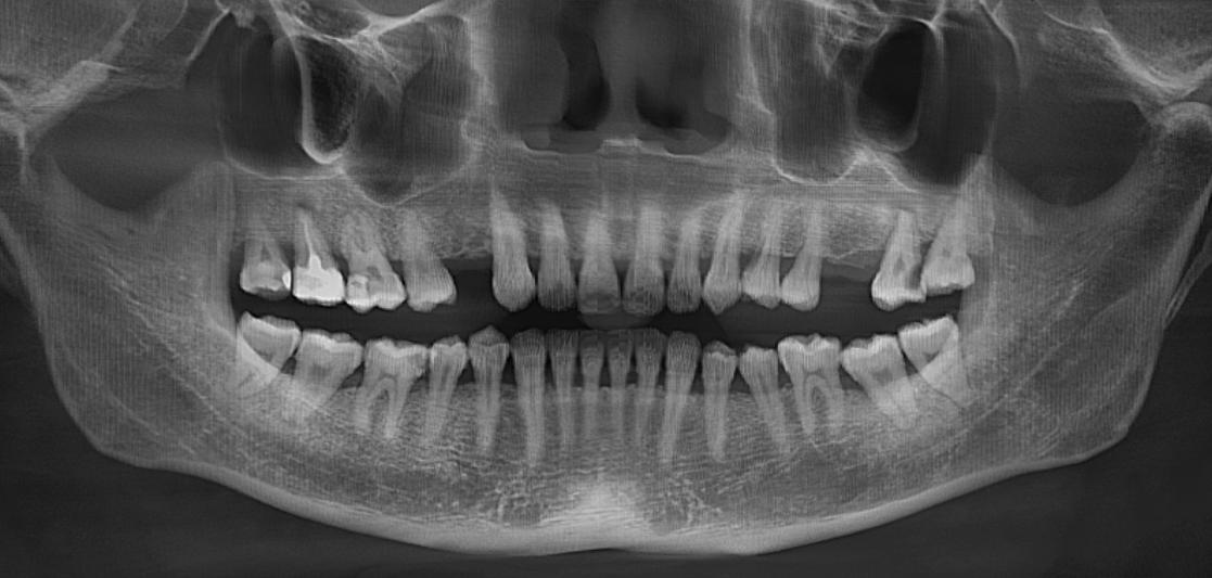
(种植术前全景片)

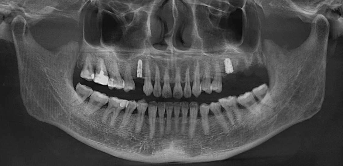
(种植术后全景片)
欢迎有缺牙修复、牙齿美容、口腔保健等需求的市民前来咨询就诊。玉林市红十字会医院口腔科,与您携手,从“齿”构建更高质量的健康生活。
来 源:口腔科
通讯员:黎宴伶
编 辑:秦一凯
编 审:蓝晚瑜
审 核:宾志刚