【医疗技术】
近日,玉林市红十字会医院泌尿外科二病区医疗团队依托扎实的诊疗技术与多学科协作体系,成功为一名右肾盂、右输尿管及膀胱多部位恶性肿瘤患者实施腹腔镜下右侧肾输尿管切除术+腹腔镜下膀胱根治性切除术+左侧输尿管皮肤造口术。这台高难度根治性手术的顺利完成,充分展现了医院在处理复杂疑难泌尿系肿瘤病例方面的综合诊疗能力,也为同类复杂病症的治疗积累了宝贵临床经验。
63岁的黄先生(化名)因反复出现肉眼血尿4年余,曾在外院确诊为膀胱恶性肿瘤,且肿瘤已累及右肾、右输尿管等部位。因肿瘤体积大、病情复杂,外院仅予药物保守治疗,后续肿瘤出现进展。为寻求进一步治疗,黄先生慕名来到我院泌尿外科二病区就诊。
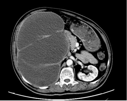
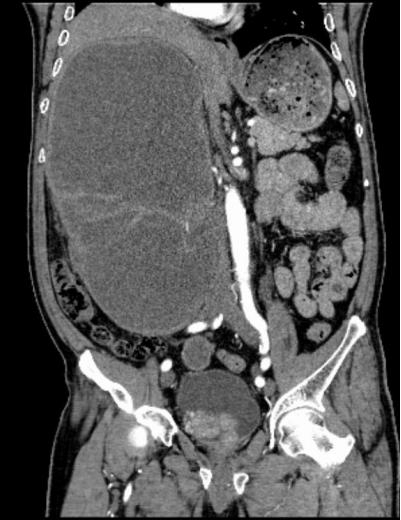
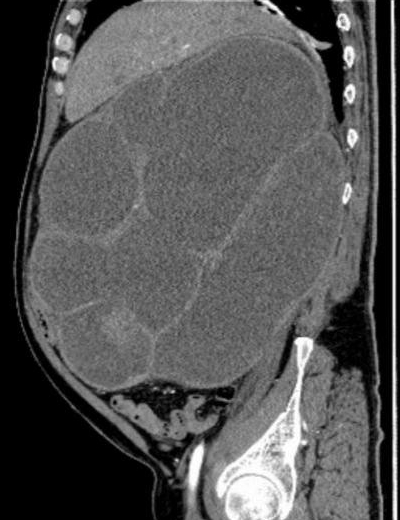
入院后,科室为患者完善影像学、内镜及病理等一系列检查,明确诊断其右肾盂、右输尿管及膀胱均存在恶性肿瘤病灶,其中右输尿管肿瘤引发梗阻,导致右肾严重积水,肾脏体积达650px×500px×175px,病情复杂程度远超常规病例,常规治疗方案难以达到理想疗效。




面对这一诊疗难题,泌尿外科二病区主任李化升牵头组织多学科会诊,联合肿瘤科、放射科、麻醉科、病理科等科室专家共同研讨病情,打破学科诊疗壁垒,为患者量身定制个体化综合治疗方案。经全面周密评估,医疗团队确定先为患者开展靶免联合新辅助治疗,待手术条件成熟后再实施根治性手术切除的诊疗路径。
该手术的实施存在多重技术难点:肿瘤病灶累及右肾、右输尿管、膀胱多个脏器,且肿大的肾脏与周围血管、肠道等重要组织毗邻紧密、粘连严重,腹腔镜下操作空间狭小,对微创操作的精准度要求极高,操作不当极易引发大出血、脏器穿孔等严重并发症;手术涉及多脏器联合切除,步骤繁琐,对手术团队的配合度和操作连贯性要求严格;左侧输尿管皮肤造口术的实施直接关系患者术后排尿功能和生活质量,对手术的精细度、规范性有着高标准要求。
2026年1月底,患者完成新辅助治疗后,经评估手术条件已成熟,且患者及家属手术意愿明确。在麻醉科、手术室护理团队的全力配合下,李化升主任带领手术团队开始手术。为建立有效操作空间,团队先为患者穿刺抽出3600ml血性尿液,使肿大的肾脏体积有所缩小,随后开展腹腔镜下右肾切除操作。术中发现肾脏与十二指肠等周围组织严重粘连,腔镜下仅能游离约85%,团队随即调整方案,通过开放手术游离剩余部分并顺利取出肾脏。
此后,手术团队依次完成腹腔镜下右侧肾、右输尿管切除术、盆腔淋巴结清扫术和膀胱根治性切除术,又顺利实施左侧输尿管皮肤造口术。整个手术过程操作规范、有条不紊,肿瘤病灶被完整切除,术中出血量得到精准控制。术后病理检查结果显示,患者右肾盂、右输尿管及膀胱均为高级别尿路上皮癌,盆腔淋巴结未见转移,为患者后续治疗奠定了良好基础。
术后,泌尿外科二病区医护团队为患者制定了精细化的术后护理方案和快速康复计划,从病情监测、伤口护理、饮食指导到康复训练全程专人跟进。在医护人员的精心照料下,患者术后未出现大出血、感染、脏器损伤等并发症,恢复情况良好,现已顺利康复出院。








此次复杂泌尿系多脏器恶性肿瘤根治术的成功实施,不仅为患者的后续治疗争取了宝贵时机,更充分体现了医院多学科协作诊疗模式在疑难重症诊疗中的重要价值,彰显了玉林市红十字会医院泌尿外科在泌尿系肿瘤微创诊疗领域的技术实力。
未来,玉林市红十字会医院将继续发挥多学科协作优势,持续深耕泌尿系疑难肿瘤的诊疗研究,不断提升医疗技术水平和综合服务能力,为广大泌尿系疾病患者制定更加精准、个性化的全周期诊疗方案,以专业的医疗技术和优质的医疗服务,切实守护群众的泌尿健康。
温馨提示:本文仅作为医疗技术介绍,不构成具体诊疗建议。具体治疗方案需由专业医师结合患者个人病情制定。
来 源:泌尿外科二病区
通讯员:陈 雪
编 辑:秦一凯
编 审:蓝晚瑜
审 核:宾志刚